verruca vulgaris
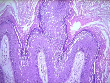
Histologic Features
- Compact orthokeratosis with focal parakeratosis at the tips of the digitations
- Hemorrhage in the parakeratotic horn
- Irregular digitated epidermal hyperplasia
- Confluent hypergranulosis
- Basophilic keratohyaline bodies and clear spaces around nuclei of the upper keartinocytes ("Owl eyes").
- Arborization of the elongated rete ridges
- Markedly dilated tortuous vessels in the dermal papillae
- A dense dermal inflammatory infiltrate
- A single tall digitation (filiform variant)
- Pseudocarcinomatous aggregates of epithelium emanating from the undersurface of the epithelium
Updated Wednesday, July 31, 2013 8:30:48 PM