scleromyxedema
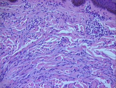
Histologic Features
- An inflammatory process diffusely involving the upper dermis and abutting against the epidermis, characterized by
- A moderately dense lymphocytic infiltrate around vessels and adnexae
- Many spindle fibroblasts between collagen bundles in association with mucin deposition and mast cells
- Some fibroblasts in stellate-shapes
- Fibroblasts in fascicular formation and an increased collagen deposition
- Destruction of hair follicles
- Prominent fibrosis of the reticular dermis and pannicular septae
- Lobular necrosis with numerous foamy histiocytes
Updated Wednesday, July 31, 2013 8:30:48 PM