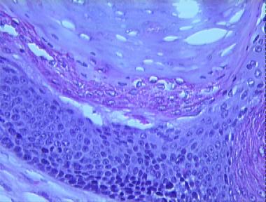
pilomatrixoma (Calcifying epithelioma of Malherbe)
Histologic Features
- A sharply circumscribed cyst-like structure in the dermis contiguous with the hair follicle, characterized by
- A fragmented cyst wall composed of three cell types: an outer layer of basophilic small cells with round nuclei and scanty cytoplasm; a mixed zone of eosinophilic cells with large rounded vesiculated nuclei; and a central zone of shadow cells which have lost nuclei and a barely discernible cytoplasm (ghost cells)
- Foci of calcification and ossification within shadow cell lobules
- Melanin present within the shadow cells
- A surrounding stroma which is fibrotic and infiltrated with a granulomatous inflammation
Updated Wednesday, July 31, 2013 8:30:48 PM