nodular fasciitis
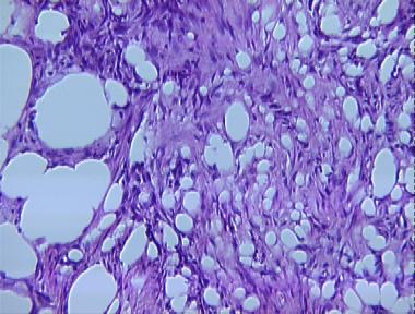
Histologic Features
- A deep-seated but well-circumscribed lesion attached to the deep fascia, characterized by
- Interlacing short bundles of stellate spindle fibroblasts in a collagenous matrix rich in ground substance
- Focal myxoid matrix and both pseudo-macro and microcysts containing fibrin and red blood cells
- Scattered "osteoclast"-like giant cells
- Scattered inflammatory cells especially at the periphery
- Extravasated red blood cells
- A few typical mitoses
- Hyaline stroma with small blood vessels (older lesions)
- +Vimentin, + MS Actin, + SM Actin, +- KP1
Updated Wednesday, July 31, 2013 8:30:48 PM