mycosis fungoides, tumor stage
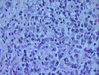
Histologic Features
- An ulcerated surface
- Irregular epidermal hyperplasia
- Infiltration of the epidermis by convoluted lymphoid cells in solitary units and nests (Pautrier' abscess)
- A dense, diffuse or nodular infiltrate in the dermis consisting of atypical lymphoid cells with convoluted nuclei, histiocytoid cells, many plasma cells, and scattered eosinophils
- Involvement of the follicular epithelium with lymphoid cells, and follicular mucinosis
- Mycosis cells characterized by large mononuclear cells with oval, convoluted nuclei, pale cytoplams, prominent nucleoli and indistinct cytoplasmic membrane
Updated Wednesday, July 31, 2013 8:30:48 PM