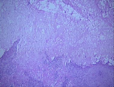
milker's nodule/orf
Histologic Features
- A scale-crust
- A multiloculated intraepidermal vesicle involving the upper epidermis
- Marked epidermal hyperplasia
- Ballooning degeneration of the upper keratinocytes with intranuclear eosinophilic inclusion bodies
- Extensive reticular degeneration of the blister space containing numerous eosinophils, neutrophils and a few lymphocytes
- Marked edema of the papillary dermis
- A dense diffuse mixed cell infiltrate consisting of lymphocytes, histiocytes, neutrophils, eosinophils, and plasma cells in the dermis
- Telangiectatic vessels
Updated Wednesday, July 31, 2013 8:30:48 PM