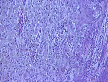
malignant melanoma, nodular type (nodular melanoma)
Histologic Features
- A scale-crust overlying a denuded lesion with
- Epidermal thinning over a dome-shaped asymmetrical lesion
- A proliferation of atypical melanocytes as solitary units and nests throughout the entire thickness of the epidermis
- Nest of atypical melanocytes in the dermis of varying sizes and shapes forming sheets of neoplastic cells in the dermis
- Absence of maturation of the melanocytes with descent into the dermis
- Mitotic figures near the base of the lesion
- An inflammatory infiltrate at the base containing many plasma cells
- Foci of regression in the papillary dermis
Updated Wednesday, July 31, 2013 8:30:48 PM