lymphocytoma cutis (Spiegler-Fendt sarcoid)
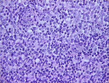
Histologic Features
- A dense diffuse or nodular infiltrate in the dermis characterized by
- A tendency for vertical orientation of the lesion with the infiltrate being top-heavy (denser infiltrate in the upper dermis as compared to the lower dermis)
- Small lymphocytes, many histiocytes, a few atypical mononuclear cells as well as a few eosinophils and plasma cells
- Scattered germinal centers
- Tingible bodies (nuclear dust in macrophages) in germinal centers
- Prominent vascularity and preserved adnexae
- Occasional histiocytic giant cells
- Few mitosis but no necrosis en mass
Updated Wednesday, July 31, 2013 8:30:48 PM