lipoblastoma
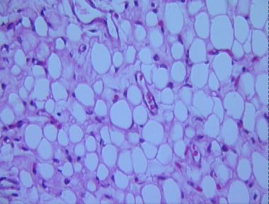
Histologic Features
- A multilobular neoplasm separated by prominent fibrous septae in the subcutis, characterized by
- A proliferation of lipoblasts that range from vacuolated spindle cells to larger cells with multiloculated cytoplasm and central nuclei, to small mature lipocytes
- More mature areas showing small lipocytes with peripheral spindle nuclei
- Scattered blood vessels without a vascular network
- Abundant mucoid matrix containing stellate spindle cells
- Scattered inflammatory cells such as lymphocytes within the neoplasm
Updated Wednesday, July 31, 2013 8:30:48 PM