Loma Linda Dermatopathology

Dermatopathology/Dermatology Histopathology Library Reference

Disclaimer: The information on this website is provided for informational and educational purposes by Fred F. Soeprono, M.D., Board-Certified Dermatopathologist and Dermatologist. No warranty or guarantee is provided as to the accuracy of the information provided on this website. Consult a licensed medical doctor with any medical questions.

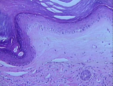
lichen sclerosis et atrophicus, old

lichen sclerosis et atrophicus, oldBuy A Systematic Approach to Dermatopathology on Amazon.com

Histologic Features

Updated Wednesday, July 31, 2013 8:30:48 PM