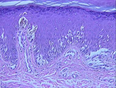
junctional Spitz nevus
Histologic Features
- Hyperkeratosis, hypergranulosis and slight epidermal hyperplasia
- A proliferation of large epthelioid and spindle melanocytes, as single units and nests at the dermoepidermal junction
- Large, uniform melanocytes with abundant eosinophilic cytoplasm
- Single cell proliferation predominate over nests at some foci
- Scatter of melanocytes above the dermo-epidermal junction
- An increased number of mitotic figures
- Dull pink globules associated with the nests (Kamino bodies)
- A moderately dense lymphocytic infiltrates at the base in association with melanophages
- As a whole, the lesion is small (less than 6 mm.), well-circumscribed and symmetrical.
- Pigment incontinence and fibrosis of the papillary dermis
Updated Wednesday, July 31, 2013 8:30:48 PM