epidermotropic metastatic melanoma
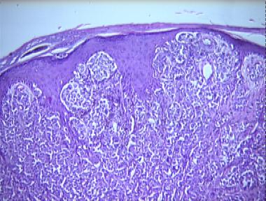
Histologic Features
- A small lesion (less than 5 mm in diameter), dome-shaped, symmetrical and well-circumscribed lesion with no horizontal extension of atypical melanocytes within the epidermis, characterized by
- A proliferation of atypical melanocytes as single units andn ests at the dermo-epidermal junction with some extension above the basal layer
- Irregular nests of atypical melanocytes in the dermis which become confluent to form sheets of cells.
- Melanophages in numbers in the upper dermis
- Presence of neoplastic cells within blood vessels at the base of the lesion
- Little inflammatory response at the base
Updated Wednesday, July 31, 2013 8:30:48 PM