eccrine porocarcinoma
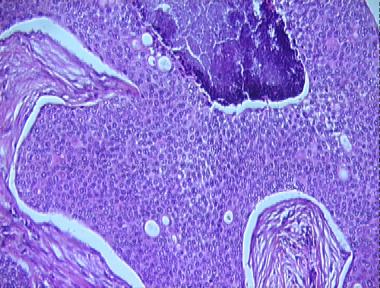
Histologic Features
- A poorly circumscribed asymmetrical proliferation of tumor cells separated from the epidermis by a grenz zone, characterized by
- Irregular lobules and infiltrating cords of atypical basaloid cells with vesiculated pleomorphic nuclei, prominent nucleoli and scanty cytoplasm
- Ductal tubular formation within the lobules
- Individual necrotic cells and mitoses in numbers
- Necrosis en masse at some foci
- Infiltrating and disorganized growth pattern into the deep subcutaneous fat
- Fibroplasia of the stroma
- Focal squamous metaplasia as evidenced by squamous eddies formation
- A poorly circumscribed neoplasm characterized byElongated cords and nests of relatively uniform small polygoDuctal formations within lobulesnal cells
Updated Wednesday, July 31, 2013 8:30:48 PM