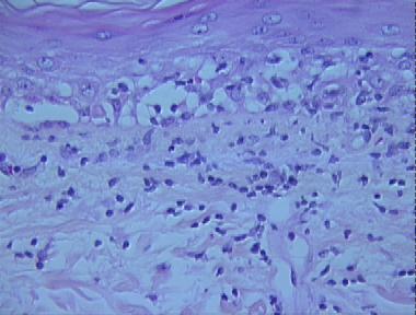
early lupus erythematosus
Histologic Features
- A basket-weave cornified layer
- Extensive vacuolar alteration of the basal layer
- A smudged thickened basement membrane
- A patchy lichenoid infiltrate of lymphocytes and histiocytes at the dermo-epidermal junction with a few neutrophils and nuclear dust
- Scattered necrotic keratinocytes in the basal layer and papillary dermis
- Extravasated blood cells in the papillary dermis
- Dilated blood vessels in the upper dermis
- A superficial and deep perivascular and periadnexal infiltrate consisting mostly of lymphocytes
Updated Wednesday, July 31, 2013 8:30:48 PM