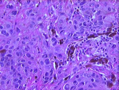
deep penetrating nevus
Histologic Features
- A large melanocytic lesion extending into the subcutis with
- A proliferation of banal melanocytic nests at the DE junction
- A proliferation of epthelioid "pagetoid-like" melanocytes as nests throughout the dermis
- Scattered dendritic melanocytes throughout the lesion
- A prominent number of melanophages laden with heavy melanin
- An admixture of smaller nevus cells at various foci
- A tendency for the cells and nests to surround rather than overrun the adnexae
- Little tendency for the nevus cells to mature with descent
- Absence of nuclear pleomorphism, mitoses, necrosis or ulceration
- A lymphocytic infiltrate at the base
Updated Wednesday, July 31, 2013 8:30:48 PM