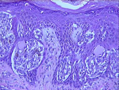
compound Spitz nevus
Histologic Features
- Hyperkeratosis, hypergranulosis and irregular epidermal hyperplasia
- Nest of large spindle melanocytes mostly at the dermo-epidermal junction
- Nests predominating over single cells
- Clefts between nests and epidermis
- "Kamino" bodies associated with the nests
- Scatter of single melanocytes above the dermo-epidermal junction
- Irregular nests of spindle and epitheliod melanocytes in the dermis
- Maturation of nevus cells with descent
- Fibroplasia and telangiectasia of the upper dermis
- Lymphocytic and plasmacytic infiltrate around the blood vessels
- As a whole, the lesion is not very large (less than 1 cm.), symmetrical and well-circumscribed.
Updated Wednesday, July 31, 2013 8:30:48 PM